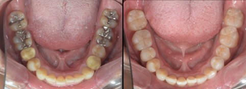
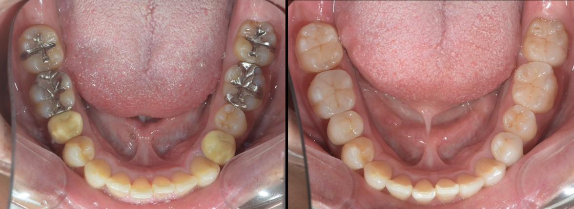
中等度の虫歯治療をすると多くの症例で銀歯を使用します。銀歯は衝撃に強く、経年的に歯と似たような適度な摩耗をするので保険診療の選択として多くの症例に利用されています。ただし、長期間、口腔内に銀歯があるということは心配なこともあるのが歯科医師としての本音です。銀歯が長い年月が経つとどうなるのか、やりかえる治療にはどのようなものがあるのかを解説します。
〒106-0047 東京都港区南麻布1丁目3−7
プレール麻布仙台坂 1階
中等度の虫歯治療をすると多くの症例で銀歯を使用します。銀歯は衝撃に強く、経年的に歯と似たような適度な摩耗をするので保険診療の選択として多くの症例に利用されています。ただし、長期間、口腔内に銀歯があるということは心配なこともあるのが歯科医師としての本音です。銀歯が長い年月が経つとどうなるのか、やりかえる治療にはどのようなものがあるのかを解説します。

| 治療期間 | 2ヶ月程度(2,3回の来院) |
|---|---|
| 費用 | 8.5万円~15万円(税抜)/本 |
| 執刀医 | 井之前貴雄 |
| リスク |
|

治療の時に患者様は「笑うと見えますか?」と尋ねる方が非常に多いです。
我々は健康面を第一としていますが患者様の最大の関心ごとは”周りにどう見られるか”に尽きると思います。
丁寧にセラミック治療をすることで目視では分からない水準にまで天然歯に近づきます。そして、気が付けば悩んでいた口臭も改善しているかもしれません。
また、治療後にしっかりとメインテナンスにいらっしゃる方は再治療のリスクがぐっと下がります。
口のことで悩むことが減るとお食事も楽しくなります。ご飯を美味しく食べることが出来れば日常に活力が生まれて仕事やプライベートが充実することでしょう。

口腔内は酸や唾液がある金属にとっては過酷な環境です。
酸の中に金属を浸漬すると溶けることはご存じであるように、口腔内でもゆっくりと溶けることがあります。
銀歯は歯茎と触れあうことがあるので、溶けた金属イオンは血流に乗って体内のタンパク質にアレルゲンとみなされる場合があります。
すぐに金属アレルギーの症状が出る方は実は少ないので口腔内の金属が原因で金属アレルギーになったのかどうかという因果関係は分かりにくいのですが、数年後に金属アレルギーになる方や掌蹠膿疱症を患う方もいらっしゃいます。(パッチテストで歯科金属由来のアレルギーであるのかを確認する方法もあります)

保険適応である銀歯は安価で治療することが可能であるという反面で虫歯になりやすいというデメリットがあります。
日本の保険診療の制度では「丁寧に精密に作った銀歯」であっても「あまり適合が良くない銀歯」であっても費用は同じです。
時間をかけて丁寧に作れば作るほどに薄利となる日本の保険診療の仕組みの中で皆様が歯科医院経営者であればどのような質で銀歯を作製するでしょうか?
歯と銀歯の間に隙間が出来てしまうと細菌が長期停滞してしまい、虫歯や歯周病を誘発します。
銀歯は金銀パラジウム合金という合金から組成されており、その中でも銀は黒い色を呈しながら歯肉に取り込まれることがあります。
銀歯の治療をした後に、再度虫歯になった場合は銀歯を外すために口腔内で銀歯を削り取ります。
その中で銀歯の粉が歯肉に取り込まれていくのです。タトゥーのように歯肉に取り込まれた金属は切開やレーザーにより除去が可能ですが、可能な限り歯肉への侵襲は避けたいものです。
銀歯をやりかえる治療にはセラミック以外にもレジン(ダイレクトボンディング)という材料が存在します。

レジン修復は保険適応であり、初期の虫歯ではとても有効な手段です。当院でも小規模〜中等度の虫歯に対しては第一選択としてご案内しています。虫歯を取って、埋めるという目的であれば保険診療で十分な症例が殆どです。
レジン修復には自由診療の対応もあります。
高い賦形性が求められる場合や審美性及び接着を高い次元で求める場合は自由診療のレジン(ダイレクトボンディングと呼称しております)を提案する場合があります。
このダイレクトボンディングという治療は術者の技量に大きく左右される治療です。
下の写真は保険診療と自由診療の差です。天然の歯を模倣して、虫歯になりにくいダイレクトボンディングは小規模の虫歯治療の最も優秀な選択肢です。

| 治療期間 | 当日の治療のみ |
|---|---|
| 費用 | 5万円(税抜)/本 |
| 執刀医 | 井之前貴雄 |
※比較的小さな虫歯は保険適応内のレジン充填を推奨しています。
中等度〜大規模の虫歯治療では虫歯を誘発する恐れがあるので注意喚起をしております。
それは、硬化時に寸法が縮小する重合収縮という現象が必ず起きます。
広範囲でレジン充填を行うと、視認できない程度でありながら、しかしながら容認できない水準で歯とレジンの間に剥離が生じます。
その隙間から最近は侵入するのでレジン直下で虫歯が再発するリスクが非常に高いのです。
小規模の虫歯治療であれば、歯を削る量も最小限であり、とても良い材料ですので私自身は好んで推奨しております。
しかしながら、広範囲の修復となればとても心配な材料と呼ぶことができます。


レントゲンによる虫歯の深度の把握をします。また、熱いものや冷たいものが沁みていないか神経の状態の把握をします。
銀歯を外した後に虫歯がある場合は虫歯を取り除きます。何度も虫歯が染まる染色液で確認しながら虫歯の取り残しがないように徹底的に取り除きます。
虫歯が取れた後は穴がボコボコしているのでそのままだと綺麗にセラミックがフィットしないことがあります。
セラミックが吸い付くような適合をしていくように材料を薄く敷き詰めて平坦化します。

付加型シリコン印象材という最も変形が少ない精密な薬剤を使って歯の型を取ります。
この型に石膏を流し込み、固まった模型にピタッと適合するようなセラミックを作製します。
症例に応じて口腔内をカメラで撮影して3次元のデジタル模型を作製するIOS(オーラルスキャナー)を使用することもあります。
嘔吐反射が強い方にはおすすめです。

セラミック専用のセメントを使用して歯と接着をします。
歯のカルシウムとセラミックのケイ素に働きかけるプライマーを使用することで非常に強く結合をします。
正しい接着の操作と環境が整えば普段の咀嚼では外れることはありません。
セラミックの治療はどの医院様でも行う治療ではありますが、術者の技量に出来栄えが大きく左右される治療でもあります。
我々は既製品を売るのではなく、オーダーメイドの歯科医療を提供しております。歯科医療を通じて皆様の健康と明るい私生活を技術による下支えをさせて頂きます。
丁寧な治療をご希望であれば気兼ねなくご相談ください。ゆったりとした環境で安心できるカウンセリングをお約束します。