〒106-0047 東京都港区南麻布1丁目3−7
プレール麻布仙台坂 1階
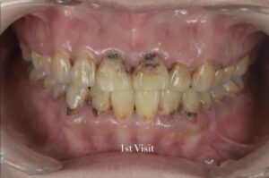
虫歯が長く放置されてしまったり、歯が欠けてしまったりすると、咬み合わせが崩れてしまうことがあります。これを「咬合崩壊」と呼びます。咬合崩壊が進むと、しっかり噛めなくなるだけでなく、見た目の変化やお口全体のバランスにも影響を及ぼし、食事や会話に不安を抱えてしまう方も少なくありません。

「もう手遅れなのでは…」と感じて、歯科医院から足が遠のいてしまう方もいらっしゃいます。しかし、ご安心ください。近年の歯科治療は大きく進歩しており、歯を大きく削らずに機能的・審美的な回復を行うことが可能です。その代表的な方法が「ラミネートベニア」と「ダイレクトボンディング」です。

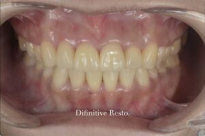
ラミネートベニアは、歯の表面に薄いセラミックのシェルを貼り付ける治療法です。天然の歯のような透明感と美しさを再現できるため、見た目を大きく改善することができます。咬合崩壊で前歯の形や色にお悩みの方にとって、自然な笑顔を取り戻す大きな助けになります。また、歯を削る量が最小限に抑えられるのも大きなメリットです。
一方、ダイレクトボンディングは、歯に直接レジンという素材を盛り足して修復する治療です。細かい欠けや隙間を埋めることができ、形態や色調をその場で調整できるため、非常に自然な仕上がりが得られます。また、治療回数が比較的少なく済むため、気軽に取り組みやすい方法といえるでしょう。

咬合崩壊の治療では「噛めるようになること」と「見た目を整えること」を両立させることが大切です。ラミネートベニアやダイレクトボンディングは、歯を守りながら美しさも回復できるため、患者様が日常生活に自信を持てるよう導く大きな力となります。
デンタルクリニック麻布仙台坂 は、咬合崩壊に対する「咬合再建」に力を入れており、機能的にも審美的にも満足いただける治療を目指しています。噛み合わせの専門的な視点を持ちながら、一人ひとりのご希望を丁寧に伺い、最適な治療法をご提案しています。
「もう一度しっかり噛めるようになりたい」「自然な笑顔を取り戻したい」と思ったときが、治療を始める最適なタイミングです。どんな小さな悩みでも構いません。私たちはそのお気持ちに寄り添い、安心して治療を受けられる環境をご用意しています。
勇気を出して一歩踏み出してみませんか。
きっと、今よりも明るい笑顔と健やかな毎日が待っています。